tel
011-213-0081
予防歯科
セレック
インプラント
歯周病
ホワイトニング
成人矯正
一般歯科
ブリッジ
入れ歯
口腔外科
美容歯科
SAPPORO DENTAL OFFICE PARTNERs
Cases/Treatment Examples
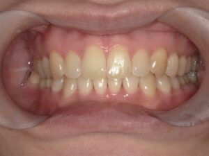
年齢
性別 女性
インビザライン矯正とセレック修復のコンビネーショ…
臼歯部のインプラント治療
歯ぐきの歯周形成外科を行ったセラミックブリッジの…