インビザライン矯正とセレック修復のコンビネーション治療
年齢・性別
・女性
治療名
治療内容
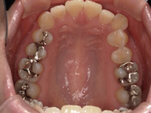
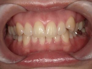
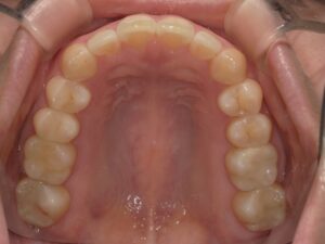
【初診時の写真】
向かって左の下の金属ブリッジが部分的に外れてしまい、食事しにくいとの主訴で当院を受診。
銀歯を除去し、健康で長持ちするように治したいとのことでした。
全体に古い銀歯が入っていて、一部は二次むし歯を発症していました。
また、向かって右上の犬歯が八重歯になっています。



犬歯は通常、下あごの運動を規定する重要な役割を担っています。
今回のように八重歯になっていると、上下の犬歯が咬み合わないため、奥歯に咬合の負担がかかります。加えて、この患者さんの場合、夜間の食いしばり・歯ぎしりの既往があり、主訴であるブリッジの脱離や奥歯の外傷のリスクを説明し、矯正治療で八重歯を改善することを提案しました。
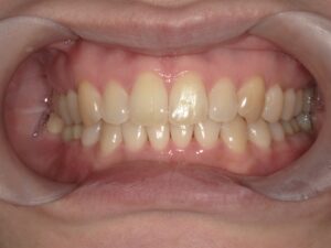
【治療途中の写真】
インビザライン治療スタートして10カ月。
だいぶ八重歯が治ってきていますね。
奥歯を移動させることで抜歯をせずに矯正治療を終えることができます。

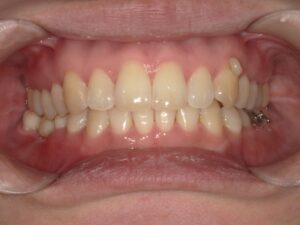
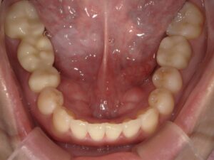
【治療後の写真】
1年2か月後、矯正後に銀歯をすべてオールセラミックに替えて治療終了です!



しっかりと犬歯同士のかみ合わせが付与されたことで、将来的にも奥歯を守ることに繋がると考えています。
お引越しまでにぎりぎり間に合いましたね、長期間の通院おつかれさまでした!!
リテーナーの着用とかみ合わせの管理を継続してくださいね~(‘ω’)ノ
治療方針
個々の歯のセラミック修復治療に加え、低位犬歯および狭窄歯列の改善を目標として矯正治療を行うことで、清掃性に優れバランスの良い咬合関係を確立することを目指します。
矯正治療前に不適合修復物はすべて仮歯に置き換え、矯正治療後にオールセラミック修復を行ないます。
治療期間
1年2か月
治療費用
セレックインレー修復59400円×7本=415,800円
セラミックブリッジ修復=250,000円
インビザライン矯正=770,000円
医師からのコメント
当院では、まず専任のコーディネーターによる個別カウンセリングを通して、審美的な希望、歯の重要性や価値、将来どのようなお口の中で過ごしたいのかといった要望や思い、そして予算や期限などをしっかりとお聞きします。そのうえであなたにとって最良の方法を相談しながら決定していくことができるため、予めゴールを患者・術者双方が共有した状態で治療を始めることができます。方向性が決まる前に歯を削ることはございませんので、安心してください。
今回は、矯正終了後にお引越しが決まっていたため、早急にオールセラミック修復を終える必要がありました。セレック修復では、1日で処置が完了するため治療期間に制限があるかたの要望にも応えることができました。
セラミック修復は、歯の形の整え方や材料の選択、接着の方法によって仕上がりに大きく違いが出ます。
当院ではISCD国際学会認定のセレックトレーナーである院長が必ず担当させていただきますので、安定した結果を提供できると考えています。
- ・セラミックが欠けたり割れたりする可能性があります。
その場合は5年保証が付いていますので、無料で再製いたします。
- ・矯正治療中は、虫歯や歯周病が進行しやすいまたは歯根吸収のリスクがあります。
- ・矯正治療後は、後戻りするリスクがあります。後戻り防止のために。適切なリテーナーの着用をお願いしています。



